Brustkrebs und KI: Bessere Bildqualität
Brustkrebs und KI: Bessere Bildqualität als Schlüssel zu rascher Diagnose
Radiolog:innen brauchen MRT- oder Mammografiebilder, um Brustkrebs zu erkennen. Obwohl beide als etablierte Diagnosetools gelten, ließe sich die Treffergenauigkeit noch erhöhen. Das Start-up Salataris AI entwickelt derzeit ein KI-Modell, mit dem das gelingen könnte. Einer der ersten Schritte ist es, die Bildqualität zu verbessern, denn mit ihr steht und fällt die korrekte Diagnose. Wie das Team konkret vorgeht, darum geht es in diesem Beitrag.
Bettina Benesch
Heutzutage ist die Chance sehr hoch, einen vorhandenen Tumor in der Brust zu finden. Magnetresonanztomografie (MRT) und Mammografie sind gute Tools, die großflächig und erfolgreich eingesetzt werden. Dennoch ist in Sachen Bildqualität noch etwas Luft nach oben: Zu den Herausforderungen für Radiolog:innen gehören Dinge wie Bildrauschen, geringe Auflösung, Kontrastschwächen, Störungen z. B. durch Metalle und Unschärfen, die etwa durch Zittern oder Atmen während der Aufnahme entstehen. Wer die Bildqualität verbessert, macht gleich zwei Sachen richtig:
1. Die diagnostische Genauigkeit wird erhöht:
Hochwertige Bilder ermöglichen es Radiolog:innen, subtile Tumoren zu erkennen und bösartige von gutartigen Veränderungen zu unterscheiden. Gutartig wären zum Beispiel Zysten oder Verkalkungen. Ist der Kontrast schlecht oder besteht ein Rauschen im Bild, kann das zu falsch-negativen oder falsch-positiven Ergebnissen führen. Bei erstem werden Tumoren übersehen, beim zweiten existiert gar kein Tumor, obwohl er auf dem Bild sichtbar zu sein scheint. Das hat in der Regel unnötige Gewebeentnahmen zur Folge.

2. KI-Modelle werden leistungsfähiger:
Schon heute unterstützen KI-Modelle Mediziner:innen bei der Diagnostik. Viele dieser Modelle lernen, Muster zu erkennen - und zwar durch Bilder, die ihnen zur Verfügung gestellt werden. Wer Modelle mit hochqualitativen Bildern trainiert, bekommt bessere Ergebnisse. Rauschen und Artefakte (das sind alle möglichen Störungen im Bild) können das Modell negativ beeinflussen, sodass es falsche Muster erlernt. Wenn das Rauschen aus einer MRT-Aufnahme entfernt wird, kann das KI-Modell sich besser auf echte anatomische Strukturen konzentrieren und wird nicht durch zufällige Bildstörungen in die Irre geführt.
Es ist also doppelt sinnvoll, die Bildqualität zu verbessern. Und um das zu tun, gibt es zwei Möglichkeiten: Einerseits den traditionellen Ansatz (beispielsweise bessere Technik) und andererseits Deep Learning (DL), einen Teilbereich der künstlichen Intelligenz.
Traditionelle Methoden zur Bildverbesserung
Optimierte Hardware
- Bei der Mammografie lassen sich schon jetzt mit hochauflösenden Detektoren und Kompressionstechniken Dinge wie Gewebeüberlagerungen und Bewegungsunschärfen vermeiden.
- Fortgeschrittene MRT-Spulentechnologien und stärkere Magnetfelder (z. B. 3-Tesla- oder 7-Tesla-Scanner) verbessern das sogenannte Signal-Rausch-Verhältnis (SNR). Das SNR gibt die Stärke des nutzbaren Signals im Vergleich zum Hintergrundrauschen an. Ein hohes SNR führt zu einer guten Bildqualität mit klaren und detaillierten Bildern.
Bildverarbeitungstechniken
- Rauschreduzierungsfilter wie der Gauss- oder der Medianfilter verringern zufälliges Rauschen in MRT-Bildern.
- Verschiedene weitere Verfahren verstärken den Kontrast und machen Veränderungen besser sichtbar.
- Andere Methoden beheben Bewegungsartefakte, die durch Atmung oder Zittern entstehen, aber auch Störungen durch Metalle.
All diese traditionellen Methoden sind bewährt, benötigen jedoch oft manuelle Anpassungen und sind bei komplexem Rauschen nur begrenzt effektiv.
Deep Learning zur Bildverbesserung
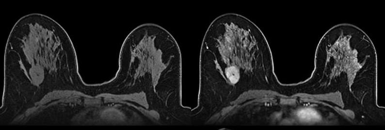
Daher ist Salataris AI angetreten, um mit Hilfe von Deep-Learning-Technologien bisherige Verfahren zu unterstützen und die Bildqualität zu verbessern. Deep Learning ist ein Bereich der künstlichen Intelligenz, bei dem sogenannte neuronale Netzwerke große Datenmengen analysieren und daraus selbstständig Muster und Zusammenhänge erkennen. Anders als herkömmliche Programme müssen sie nicht manuell programmiert werden, sondern lernen direkt aus den Bilddaten. Mit Unterstützung von EuroCC Austria trainierte das Team von Salataris AI auf dem italienischen Supercomputer Leonardo mehrere Modelle, sowohl für überwachtes als auch unüberwachtes Lernen und erreichte damit ihr Ziel: Bessere Bilder. Alle hier beschriebenen Methoden wurden vollständig umgesetzt (siehe Fotos weiter unten).
Deep-Learning-Modelle sind besonders gut darin, komplexe Muster aus Daten zu lernen, was sie ideal für die automatische und optimierte Bildverbesserung macht. Salataris AI hat sich verschiedene Techniken zunutze gemacht:
Kontrastverstärkungs-Netzwerke
Beim Betrachten von Mammografien oder MRT-Bildern ist es manchmal schwierig, Tumoren von gesundem Gewebe zu unterscheiden. Es kann sein, dass ein Tumor und das umliegende Gewebe gleich hell sind, die Pixelintensität also kaum variiert. Genau hier setzen Kontrastverstärkungs-Netzwerke an. Sie sind eine besondere Art von Deep-Learning-Modellen, die das Bild analysieren und erkennen, welche Bereiche besonders wichtig für die Diagnose sein könnten – etwa verdächtige Strukturen oder Gewebsveränderungen. Anschließend verändern sie gezielt den Kontrast in genau diesen Bildbereichen. Tumorregionen werden dadurch heller oder schärfer dargestellt, während das umliegende normale Gewebe in seiner Darstellung abgeschwächt wird. So entstehen Bilder, auf denen mögliche Tumore deutlicher sichtbar sind.
Generative Adversarial Networks (GANs)
GANs bestehen aus zwei Netzwerken, die gegeneinander arbeiten: Eines erstellt Bilder, das andere beurteilt sie. Dieser Wettbewerb führt dazu, dass die Qualität der erzeugten Bilder immer besser wird – ähnlich wie bei einer Künstlerin und einer Kritikerin, die sich gegenseitig herausfordern. So lässt sich die Bildqualität verbessern.
Salataris AI verwendet unter anderem CycleGAN (Cycle-Consistent Generative Adversarial Network): es überträgt Bilder aus dem niedrigen Qualitätsbereich in den hohen. So werden zum Beispiel verschwommene MRT-Aufnahmen in scharfe Versionen umgewandelt. Ein weiteres Tool sind SRGANs (Super-Resolution GANs): Sie erhöhen die Auflösung von Mammographien mit schlechter Bildqualität, ohne dass die Struktur verloren geht.
Unsupervised Learning, um Artefakte zu entfernen
Unsupervised Learning bedeutet, dass das Deep-Learning-Modell keine vorgemerkten Lösungen braucht – also keine Bilder, bei denen vorher schon händisch markiert wurde, was ein Tumor ist und was nicht. Stattdessen sucht es selbst nach Mustern und lernt, typische Tumormerkmale von Störungen im Bild zu unterscheiden. Dabei kommen sogenannte Convolutional Neural Networks (CNNs) wie U-Net zum Einsatz. Diese speziellen Netzwerke können Bildbereiche erkennen, die wahrscheinlich nur Störungen sind, und sie gezielt aus dem Bild entfernen – ganz ohne dass das System vorher mit klaren Bildpaaren (mit und ohne Störungen) trainiert wurde.
Denoising Autoencoders
Ein neuronales Netzwerk komprimiert verrauschte Bilder in einen sogenannten latenten Raum und rekonstruiert daraus eine saubere Version. Ein Encoder verwandelt dabei ein Bild in eine vereinfachte Darstellung (eine Art Zusammenfassung) und ein Decoder erzeugt daraus ein verbessertes Bild. Auf diese Weise wird Rauschen sowohl bei MRT-Bildern als auch bei Mammografien reduziert. Gleichzeitig bleiben wichtige Details erhalten, wie zum Beispiel Tumorränder.

Die Basis der Bildoptimierung sind Rechnersysteme, die die große Menge an Daten locker verarbeiten können, wie die europäischen Supercomputer. Im Rahmen von EuroCC sind Proof-of-Concepts für Start-ups und KMU kostenfrei.
Kostenfreie Proof-of-Concepts auf europäischen Supercomputern
Deep Learning ist eine Art Brücke zwischen traditioneller Diagnostik und den aktuellen Anforderungen an eine individualisierte und effiziente Medizin. Werden verbesserte Bilder mit Tumorerkennungsalgorithmen kombiniert, kann sich eine Aufwärtsspirale entwickeln: Bessere Eingabedaten führen zu genaueren Modellen, die wiederum Radiolog:innen ermöglichen, schnellere und zuverlässigere Entscheidungen zu treffen. Die moderne Brustkrebsdiagnostik profitiert also deutlich von optimierten Bildern.
Die Basis dieser Optimierung sind Rechensysteme, die die große Menge an Daten locker verarbeiten können, wie die europäischen Supercomputer. Im Rahmen von EuroCC sind Proof-of-Concepts für Start-ups und KMU kostenfrei.
Sie haben Fragen? Vereinbaren Sie ein persönliches Gespräch unter info@eurocc-austria.at.